A 54-minute interview. These are my friends. You can listen at 1.5 to 2 x speed.
FAMILY PRACTITIONERS MAY AND TIM HINDMARSH made it through the pandemic and saw a lot of sick patients. They had many people come from other states because they were the only practice in the region to treat Covid properly. By now, they have had a huge experience using monoclonal antibodies. These are given intravenously and require only a quick clinic visit.
They told me that these usually cured the disease within a day or two if they were given early. They also told me that the type of monoclonal that should be used is unique to each Covid variant. In other words, the Omicron treatment probably won’t work for Delta and vice versa.
They are two hours north of Portland, Oregon, and you can listen to their practice podcast HERE.
THIS IS MY RITE OF PASSAGE:
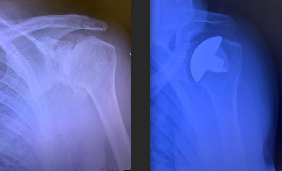
The left x-ray shows “bone-on-bone” with extra growth around the joint. This is osteoarthritis, which is degeneration due to wear and tear. I did too much liposuction,* weightlifting, and rock climbing.
The image on the right shows the new steel humeral head and a darker area between it and the original socket. This is plastic. The extra bone has been nipped out.
If you have the right doc, total shoulders are fantastic. My surgeon, Kaiser’s Daniel Acevedo, has performed over 1000, and he invented and published about some parts of the procedure. My surgery took him only an hour. I required Advil nearly every day for the past three years, but now, six weeks post-op, I am pain-free. Fast and accurate surgeries lead to easy recoveries and less chance of complications because there is less tissue damage.
Hip replacement surgeries are the most predictable of all. But think twice before you get a total knee. About a third of patients still need pain killers after the procedure. (Yoho note: I am sure this is surgeon- and technique-dependent. In other words, these numbers must be far better in the right hands. Lots of my friends have had successful total knees.)
I’m not exactly a bionic man—shoulder implants wear out 15 to 30 years after the surgery. Younger patients who get these replacements may eventually need a second procedure, which is more complex. But since I’m 68, I don’t worry much about that. I have friends who are climbing with two fake shoulders six months after getting their last one, and I intend to try as well.
*Trivia: lipo surgeons perform 2000 strokes per procedure. This is 2 million strokes per 1000 patients. I did between 5000 and 10,000 liposuctions in my career, which is a lot of shoulder abuse. I should have been a cataract surgeon!
If you ask, maybe I will treat you to a few before/after liposuction photos in subsequent posts. I have some stunners and can refer you to a great surgeon.













