The background for this post is episode 230, “I Thought Dentists Were Inferior Animals Before I Learned About Doctors.”
Quotes from Mercury-Free by Teresa Franklin PhD and James Hardy DMD (2021):
What makes [mercury} amalgam scrap? If it is not in the tooth, it is called scrap. Environmental agencies must be contacted for proper disposal methods of that little piece of amalgam that didn’t go in the tooth. If amalgam is unsafe to put in the trash can, how can it be safe in the mouths and bodies of an estimated 100 million Americans, which translates to 1/3 of the population? It is not safe and in fact, based on a conservative estimate in a population-based trial, over 67 million Americans exceed the safety exposure level set by the EPA.89
The World Health Organization (WHO) studied mercury exposure to humans from air, water, food and amalgam fillings, and concluded that the largest source of exposure was, by far, dental amalgams. The WHO also concluded that there was no safe minimum dose of mercury. “Symptoms are known to occur, at least among some of the population, at every level of exposure 97,281.”
In the U.S., mercury has been banned from interior and exterior latex paint. Mercury has also been banned in many pesticides. Mercury has been banned from batteries, smoke detectors, children’s toys, eyedrops, from most vaccines, and its use in thermometers and thermostats is being drastically reduced and will soon be nonexistent. Other products that contained mercury such as mercurochrome and calomel, have been banned altogether. Mercury use has been banned for a reason - because it is highly toxic. But….explain to me why mercury has still not been banned in the most personal environment, the mouth. It makes one wonder who has the most powerful lobby in Washington D.C.: the paint industry, the pesticide industry or the ADA?
Dr. Franklin was quite sick for a long time. She had all four health issues that people can get with dental appliances:
metal allergies
mercury toxicity
a battery effect between the metals implanted in the body that likely causes amalgams to release mercury more rapidly
chronic infection
As she gradually figured out what was happening, she started insisting on proper treatments despite denial and foot-dragging by her dentists and doctors. Orthopedists are paid poorly for screw removal, and dentists are brainwashed to ignore amalgams by the American Dental Association (ADA).
As Dr. Teri had her dental work removed and replaced with modern “composite” materials over several years, her health progressively and dramatically improved. One of her experiences was the draining of a chronic, nearly asymptomatic abscess. It was invisible on a “cone beam” dental X-ray. This was shockingly stinky, and a globule of mercury was found inside. Another time, patch testing of her skin proved that she had certain allergies to her metal orthopedic implants. Her local orthopedists told her she was crazy, so she flew across the country to get her these taken out by Scott Schroeder, my last podcast guest. After Scott removed her bone screws, she dramatically improved.
Dr. Franklin emphasizes that testing is only useful for metal allergies. For suspected mercury toxicity, none of the available assays help make the diagnosis unless they are highly positive. If they show nothing, mercury might still be hiding in your body. You can only be sure you have a problem after you get rid of your amalgams and (hopefully) feel better. Abscesses such as her smelly one often have no X-ray signs. Most people feel far better after they are drained and cleaned out. Dr. Schroeder tests for the battery effect of metals using an electrical meter during surgery, but this is a research tool.
We discuss how having more than one type of metal implanted in the human body creates reactions between them. For patients who have amalgams, this can cause toxic liquid mercury to vaporize and move into the rest of the body.
Here are a few excerpts from the book Dr. Franklin co-authored with some of her other comments.
The Food and Drug Administration (FDA) took tuna fish off our grocery shelves when it had only 1 ppm of mercury in the fish. I remembered the Minamata Bay disaster in Japan. The people there ate fish containing mercury and they suffered high numbers of birth defects, mental retardations, cerebral palsies and premature deaths directly related to ingesting fish contaminated with mercury.7 So I asked the professor, “If our government removes tuna fish from stores with only 1 ppm mercury,8 how is it even remotely safe to put 700,000 times that much in our patients’ teeth and allow them to chew on it for years?”
The mouth is the harshest environment for any material, and no material there is considered permanent.
It is nearly impossible to determine how one might feel without a toxic substance without removing it if it has been part of one’s life for so long.
Since 1984, numerous scientific articles have been published providing evidence that dentists and their staff have greater neurological, neurobehavioral, kidney and other disorders and deficits than nondental workers.65–67 As we would expect from the insidious nature of mercury, symptoms continue for years and manifest themselves in such a way that one might not even suspect a link. For example, psychosomatic symptoms, problems with memory, concentration, fatigue and sleep disturbance, were all shown to be significantly greater in a study comparing dental assistants with other medical assistants.
The ADA’s response to the above, which it still stands by today, was to issue a "Special Report" stating that it is improper and unethical for a dentist to remove amalgams from the non-allergic patient based on the dentist’s imperative to remove toxic substances from the patient’s body.
Many of my patients have requested amalgam removal for cosmetic reasons or as a hedge against future mercury-related problems. They did not sense any ill effects from having amalgams in their mouths for 25 or more years. But, when the amalgams were replaced, many of these folks noticed unexpected health improvements. Some say their memory improved. Some noticed that they could think more clearly. Others report more energy. Still others report feeling calmer. In more rigorous studies, my general observations have been replicated.
If amalgams have been in your mouth for 10 years or longer, be prepared for some issues to be exposed upon removal. There is a 50% failure rate on amalgams that are 10 years or older. That means that after around 10 years, 50% of them break, fall apart and/or have decay underneath. In some cases, the decay could be significant. Some patients’ decay may have progressed to the point that a root canal surgery may be needed.
A study that followed close to 400 people for nearly three years showed a strong link[FT1] between the presence of amalgam and extra workdays missed. The number of days missed from work was compared the year before amalgam removal and one and two years afterward. The results indicate a 30% drop in sick days two years after amalgam removal.127 What would be the savings in the U.S. of a 30% drop in sick leave among workers? Not to mention, improved morale and productivity while at work and ...improved smiles .
Mercury exposure has been related to: MS, cancer, infant death, high blood pressure, low fertility, arrhythmias, thyroid disorders, rheumatoid arthritis, inflammatory bowel disease, chronic fatigue, fibromyalgia, and neurological and psychological disease.
100 million amalgam fillings are still placed in the mouths of Americans each year, and this is the greatest source of environmental and human exposure to mercury. US dentists use 16 tons of mercury a year and half is disposed of improperly.
To prepare to get your amalgams out, see Chapter 12. You’ll want to be sure your dentist has what Dr. James and I call the ‘internal mercury shield’ before you start the removal process.
Here is Dr. Hardy’s mercury detox protocol:
HERE, HERE, and HERE are papers about detoxing using zeolite. The important one is the clinical trial by Flowers et al. The IAOMT dentists (see first reference below), Teri’s biological doctor, and co-author James Hardy recommend this protocol. She got hers from Amazon HERE. Another review:
Dr. Franklin says, “I prefer to call the ADA the Amalgam Dental Association.”
Comment: I fell into this topic less than a month ago because my friend Deb Butler kindly pushed me into the pool. I read three books, listened to podcasts, looked at references, and interviewed guests.
Teri says the ADA is controls the dentists and that they are almost blameless. This cannot be the entire picture. Learning about these people has shocked me at least as much as finding out about my wretched colleagues. I am (almost) at a loss for words.
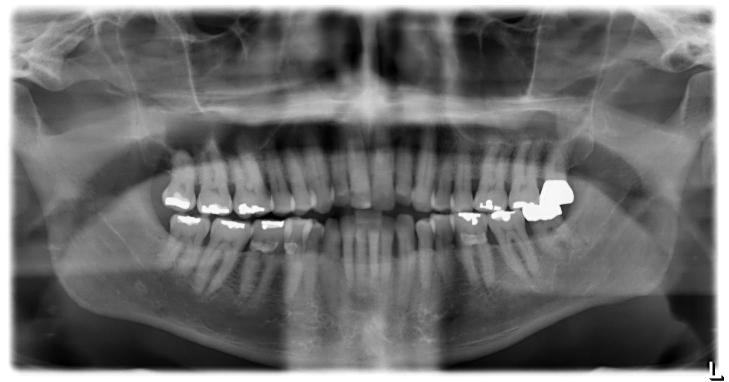
This is my “panorex” X-ray. My dentist counted seventeen amalgams last week. This is a lot of metal, and these were originally 50 percent mercury. Typically, about half of it dissolves from the teeth and passes into the rest of the body over about twenty-five years. Mine are older than that.
I wonder if my recent tremor and lifelong low-grade anxiety are due to mercury toxicity from my childhood amalgams. Also, replacing my shoulders recently may have mobilized mercury due to battery effects. So I am getting all seventeen fillings removed and replaced with white “composite.” (Saremco ceramic composite fillings might be the best.) This material is more expensive, harder to use, and less profitable for dentists. Once the mercury source is gone, the rest gradually clears from the body, but chronic cases may not improve symptomatically. Wish me luck.
References
The best is the International Academy of Oral Medicine and Toxicology (IAOMT) website HERE.
[We are] a global network of dentists, health professionals, and scientists who research the biocompatibility of dental products, including the risks of mercury fillings, fluoride, root canals, and jawbone osteonecrosis. We are a non-profit organization and have been dedicated to our mission of protecting public health and the environment since we were founded in 1984.
We accomplish our mission by funding and promoting relevant research, accumulating and disseminating scientific information, investigating and promoting non-invasive scientifically valid therapies, and educating medical and dental professionals, policy makers, and the general public. The IAOMT has a federal tax exempt status as a non-profit organization under section 501(c)(3) of the Internal Revenue Code, with Public Charity Status 509(a)(2).
Our work is crucial because there is an alarming lack of professional, policy maker, and public awareness about dangerous dental products that are harming humans and the environment on a massive scale. To help change this dire situation, IAOMT members have been expert witnesses about dental products and practices before the US Congress, the US Food and Drug Administration (FDA), Health Canada, the Philippines Department of Health, the European Commission Scientific Committee on Emerging and Newly Identified Health Risks, and other government bodies around the globe. Additionally, the IAOMT is an accredited member of the United Nations Environment Programme (UNEP)’s Global Mercury Partnership and was involved in the negotiations leading to UNEP’s Minamata Convention on Mercury.
There are only around 1400 IAOMT members worldwide, and the total number of dentists is about 202,000 in the US alone.
Fluoride information from Dr. Teri:
If you want to geek out about fluoride “controversies,” THIS is a recording of the NTP BSC Fluoride Neurotoxicity Meeting from May 4, 2023. You can listen to how both the truth and the lies are presented.
HERE is more from “Fluoride Free Australia.”
Since the 1940s, when community water fluoridation was first initiated, fluoride and fluorine compounds were added to an array of additional consumer products… These include pharmaceutical drugs, carpets, cleaners, clothing, cookware, food packaging, paints, paper, and 16 other products.
Fluoride Consumer Products Iaomt 7
375KB ∙ PDF file
THIS is a fluoride toxicity Substack .
HERE is a Mercola interview of Dr. Thomas Levy about how tooth issues cause heart disease and cancer. This is super important but did not make it into the original version of the first dental post.
The Cassandra's Memo ebook is free HERE if you promise to send the download link to five or more others. Hard copies are available at Barnes and Noble. With your help, we will educate some people sitting on the fence. If you have time to write a review at Barnes and Noble, click HERE and scroll down the page until you see the blue “review” button on the right.
BONUS: I am also giving away the Hormone Secrets and Butchered by "Healthcare" ebooks using the same arrangement; you can download them free HERE and HERE if you promise to send the links to your friends. Hard copies of these are available at Amazon.
I have no copyright; you may (accurately) quote any of my essays or books in part or whole without restriction. Also, this is not medical advice as I'm retired. Use the information here at your own risk.
















